Es geht auch (fast) ohne Hirn
Ein Mädchen führt ein normales Leben mit einem halben Gehirn. Ein Student erreicht mit fünf Prozent Hirnmasse einen IQ von 126: Liegt die heutige Neurowissenschaft komplett daneben?
Veröffentlicht am 9. Juni 2016 - 11:19 Uhr

Das grosse Rätsel: Die Hirnforschung kann nicht erklären, wo das Bewusstsein sitzt.
Mathematiker gelten als Superhirne. Schliesslich muss man besonders klug und logisch begabt sein, um sich in der Welt der Formeln zurechtzufinden. Doch das ist auch fast ohne Gehirn möglich – ein erstaunlicher Befund des britischen Neurologen John Lorber, der sich auf Patienten mit angeborenen Hirnveränderungen spezialisiert hat.
Lorber hat den Fall eines Mathematikstudenten beschrieben, der «einen Intelligenzquotienten von 126 hat, beste Noten in Mathematik schreibt und sozial völlig normal ist. Doch hat dieser Junge so gut wie kein Gehirn.» In der Hirnrinde fand sich statt der üblichen 1,5 bis 5 Millimeter nur eine knapp 1 Millimeter dünne Schicht Nervenzellen. 95 Prozent des Schädelraums waren mit Hirnflüssigkeit gefüllt. «Ich kann nicht sagen, ob dieses Gehirn 50 oder 150 Gramm wiegt. Aber es ist klar, dass es bei weitem nicht in der Nähe der üblichen 1,5 Kilogramm liegt», befand Lorber.
Der Student war zu ihm geschickt worden, weil sein Kopf etwas grösser war als üblich. So wie es typisch ist bei einem Hydrozephalus, der Vergrösserung der mit Flüssigkeit gefüllten Kammern im Gehirn.
Nachzulesen ist der Fall im Wissenschaftsmagazin «Science», Jahrgang 1980. Schon der Titel des Artikels dürfte damals die Leserschaft überrascht haben: «Ist Ihr Gehirn wirklich notwendig?» Lorber hatte über 600 Fälle von Hydrozephalus untersucht und kam zur Erkenntnis, dass «einige Patienten viel normaler sind, als sich aus ihren Hirnscans ableiten liesse».
Mit Blick auf den Mathestudenten wird im «Science»-Artikel auch gleich die entscheidende Frage gestellt: «Wie kann sich jemand mit einer grotesk verringerten grauen Substanz nicht nur ohne soziale Defizite zwischen seinen Kollegen bewegen, sondern sogar noch hohe akademische Leistungen erbringen?»

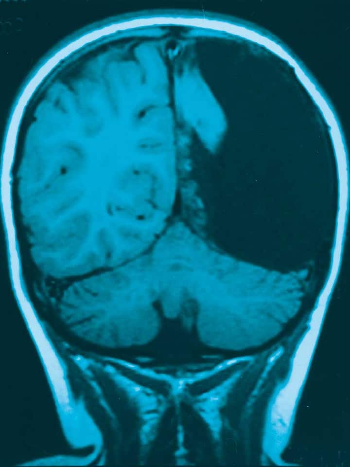
Rätselhaft: Einer Siebenjährigen aus den Niederlanden musste im Alter von drei Jahren das halbe Gehirn entfernt werden. Trotzdem spricht das Mädchen heute fliessend zwei Sprachen.
Auch Arno Villringer kennt solche Fälle aus der klinischen Praxis. «Ich erinnere mich an einen Patienten, der sich untersuchen liess, weil er Kopfschmerzen hatte oder etwas in dieser Art», sagt der Direktor der Abteilung Neurologie am Max-Planck-Institut für Kognitions- und Neurowissenschaften in Leipzig. «Als ich sein Computertomografiebild sah, war gleich klar, dass er fast kein Gehirn hatte. Ein unglaublich grosser Hydrozephalus und nur ganz schmale Streifen Hirnrinde. Der Mann lebte ein unauffälliges Leben, das war eine Zufallsentdeckung.» Villringers Folgerung: «Offensichtlich kann man mit vergleichsweise wenig Gehirn schon sehr viel leisten.»
Selbst mit nur einer Hirnhälfte lässt es sich bisweilen normal leben. Das belegt die Fallstudie «Ein halbes Gehirn» von Johannes Borgstein und Caroline Grootendorst 2002 im Fachblatt «The Lancet». Die Mediziner vom Unispital Rotterdam zeigen darin die Magnetresonanztomografie-Aufnahme des Schädels einer Siebenjährigen. Ihre linke Hirnhälfte fehlt. Chirurgen hatten sie dem Mädchen wegen einer chronischen Gehirnentzündung mit schweren epileptischen Anfällen entfernt, als es drei Jahre alt war. Welche Folgen hatte diese Hemisphärektomie? Es ist kaum zu glauben: So gut wie keine.
Vier Jahre nach der dramatischen Hirnoperation spricht das Mädchen fliessend zwei Sprachen, entwickelt sich bestens und lebt ein normales Leben. Die durch die Grunderkrankung verursachte halbseitige Lähmung ist verschwunden. Zurück blieb einzig eine leichte Verkrampfung in einem Arm und einem Bein.
Ein weiterer faszinierender Fall aus den USA: Cameron Motts Leidensweg begann mit drei, als sie an einer Hirnhautentzündung erkrankte. Im siebten Lebensjahr entfernten Ärzte ihr die rechte (nicht dominante) Hirnhälfte. Vier Wochen nach dem Eingriff ging und sprach das Mädchen aus Jamestown, North Carolina, wieder.
Die Entfernung einer Gehirnhälfte ist oft der letzte Ausweg, um schwerste, bisweilen tödlich verlaufende Formen der Epilepsie zu behandeln. Sie wird seit den achtziger Jahren immer häufiger durchgeführt. Denn die Folgen sind für die Patienten in der Regel viel weniger dramatisch, als es eigentlich zu erwarten wäre.
Die nächstliegende Erklärung, warum selbst schwere Abweichungen der Gehirnanatomie ohne grosse Folgen sein können, ist die Neuroplastizität, die Anpassungsfähigkeit des Gehirns. Andere Hirnstrukturen können einspringen, wenn die eine Hirnhälfte entfernt wird wie bei der Hemisphärektomie. Sie kompensieren den strukturellen Ausfall. «Gerade bei Hemisphärektomien kommt zum Tragen, dass es ja eben zwei Hirnhälften gibt. Im Grunde genommen ist ja alles auch in der anderen Hirnhemisphäre angelegt», sagt Neurologe Villringer.
Dass sich Hirnzellen neu verschalten und gar das Leben lang neu bilden können, sind zentrale Erkenntnisse aus den neunziger Jahren, der «Dekade des Gehirns», wie die US-Regierung das Jahrzehnt getauft hatte, um die Neurowissenschaften zu popularisieren. Noch bis in die achtziger Jahre war man davon ausgegangen, dass alle Nervenzellen bereits bei Geburt angelegt sind, das Gehirn bloss noch ausdifferenziert wird, und dass Hirnzellen im Verlauf des Lebens absterben.
In den letzten Jahren ist Neuroplastizität allerdings zu einem arg strapazierten Universalargument geworden, um psychologische Phänomene biologisch zu erklären. Wieso wirken Psychotherapien? Neuroplastizität! Wieso tut Meditation gut? Neuroplastizität! Wieso lernen Kinder in einem stimulierenden Umfeld besser? Neuroplastizität!
Selbst die Wirkungsweise von Antidepressiva wird mit dem Argument neuroplastischer Veränderungen erklärt, weil sich alle anderen Hypothesen als nicht haltbar herausstellten.
«Offensichtlich kann man mit vergleichsweise wenig Gehirn schon sehr viel leisten.»
Arno Villringer, Direktor der Abteilung Neurologie am Max-Planck-Institut für Kognitions- und Neurowissenschaften in Leipzig

Wie genau neuroplastische Veränderungen im Gehirn vor sich gehen, ist allerdings erst auf der unteren zellulären Ebene gut untersucht: «Auf der Stufe von Geweben kann man strukturelle Veränderungen im Zeitraum von Minuten bis Stunden gut nachweisen. Das wurde vor allem in Tierversuchen zum Lernen gut untersucht», sagt Arno Villringer.
Auch vom Nervensystem ausserhalb des Gehirns und des Rückenmarks weiss man, dass sich ein verletzter Nerv komplett regenerieren kann. Das ist oft sogar über viele Zentimeter hinweg möglich, wenn der Nerv «weiss», in welche Richtung er wachsen muss.
Beim Gehirn hingegen ist das Verständnis neuroplastischer Prozesse bestenfalls ansatzweise vorhanden. Deshalb eignet sich der Begriff der Neuroplastizität gut als unangreifbares Argument. Solche Behauptungen lassen sich zwar nicht konkret beweisen, aber eben auch nicht widerlegen.
Die Tatsache, dass man bisweilen auch mit schweren Hirnanomalien gut leben kann, stellt noch etwas Weiteres infrage: Wie sinnvoll ist es, mit moderner Bildgebung Prozesse im Hirn lokal zu verorten? Dabei waren es doch gerade diese beeindruckenden bunten Hirnscanbilder, dauerpräsent in allen Medien, die die Begeisterung für die Neurowissenschaften in den letzten Jahren beflügelten. Endlich, so dachten viele, kann man dem Gehirn direkt bei der Arbeit zusehen.
Aber wie sinnvoll ist es, mit Tomografie im Gehirn nach spezifischen Aktivierungen während einer Denkaufgabe zu suchen, wenn man diese Aufgabe offensichtlich auch mit nur einem halben Gehirn lösen kann? Mit der Sichtweise, dass bestimmte Hirnareale oder Netzwerke spezialisiert seien für bestimmte Aufgaben, kann es also nicht weit her sein. Besonders dann nicht, wenn es kognitiv anspruchsvoll wird. Zum Lieben, Lügen oder Glauben braucht es einfach das ganze Gehirn.
Auch unter den Neurowissenschaftlern herrscht Uneinigkeit, was die grundsätzliche Funktionsweise des Gehirns angeht. Die einen sind davon überzeugt, dass das Bewusstsein aus dem komplexen Zusammenspiel multitaskingfähiger Hirnnetzwerke entsteht. Andere wiederum beharren auf dem Ansatz, mentale Funktionen liessen sich spezifischen Hirnregionen zuordnen und mit bildgebenden Verfahren messen.
«Einer bestimmten Koordinate im Gehirn eine bestimmte mentale Funktion zuzuordnen, ist sicher nicht der richtige Ansatz», sagt Neurologe Villringer. Passé ist der Lokalisationsansatz allerdings noch lange nicht. Fachmagazine wie «Social Cognitive and Affective Neuroscience» sind voll von Studien dieses Typs.
Ein Beispiel: «Römisch-katholischer Glaube bewirkt charakteristische neuronale Antworten auf moralische Dilemmas», publiziert 2014 von einer spanischen Forschergruppe. Letztes Jahr stellte die Neurologiezeitschrift «Brain» den Fall einer Frau mit «zerebellärer Agenesie» vor. Will heissen: Der Patientin fehlt das Kleinhirn. Das ist eine grosse Seltenheit, weltweit sind nur neun solcher Fälle beschrieben. Wobei man eigentlich gar nicht von «Patientin» sprechen kann, denn die 24-Jährige lebt ohne nennenswerte Einschränkungen, obwohl im Kleinhirn gut die Hälfte aller Gehirnneuronen beheimatet sind.
Die Frau, eine Chinesin, war wegen Schwindel und Übelkeit zum Arzt gegangen. Im Laufe der Abklärungen zeigte sich, dass sie schon immer Probleme hatte mit dem Gehen und als Kind auch mit dem Sprechen. Noch heute ist ihr Gang unsicher, und ihre Aussprache ist etwas undeutlich. Die Frau ist verheiratet und hat eine Tochter, sie führt ein unauffälliges, normales Leben.
Bei angeborenen neurologischen Schädigungen dieses Typs wird gern das sogenannte Redundanzargument ins Feld geführt: Viele Funktionen im Gehirn sind von Beginn weg an mehreren Orten angelegt, gewissermassen doppelt und dreifach. Dieser Ansatz ist allerdings nicht unumstritten. Der Fall «Frau ohne Kleinhirn» könnte immerhin zeigen: Willkürliche Bewegungssteuerung und Feinmotorik, die vermutete Kernkompetenz des Kleinhirns, kann bei Bedarf offenbar auch von anderen Hirnarealen übernommen werden. Zwar nicht perfekt, aber funktional befriedigend.

Wo sitzt das Glücksempfinden? In einer Schau in Dresden konnten Gäste dem Lauf von Gefühlen folgen.
Neuroplastizität und funktionelle Redundanz sind wichtige Erklärungsansätze. Doch letzten Endes kommen die Neurologen bei der Beurteilung schwerer struktureller Hirnveränderungen ohne schwerwiegende Symptome immer zum gleichen Schluss: Eigentlich wissen wir gar nicht, wie so etwas möglich ist. Deshalb muss man sich die Frage stellen: Was kann die Hirnforschung erklären, und wo liegen die Grenzen gegenwärtiger neurowissenschaftlicher Erkenntnis?
Etwas verallgemeinert lässt sich sagen, dass die Hirnforschung dann gute Resultate hervorbringt, wenn das Hirn nicht als Sonderorgan, als geheimnisvoller Erzeuger mentaler Phänomene betrachtet wird.
Selbstverständlich gab es in den letzten Jahrzehnten bedeutende Fortschritte in der Grundlagenforschung und besonders im Verständnis neurologischer Erkrankungen. Die Krankheitsmechanismen der Parkinsonkrankheit sind gut untersucht. Seit Einführung der tiefen Hirnstimulation können auch schwere Verläufe bei Parkinson in Schach gehalten werden. Behandlung und Rehabilitation von Schlaganfallpatienten und Hirnverletzten haben sich stark verbessert.
Auch bei Epilepsie und Multipler Sklerose ist ein Wissenszuwachs zu verzeichnen. Aber man ist hier ebenfalls noch weit entfernt von einem umfassenden Verständnis. Allerdings würde das auch kein Kardiologe oder Nierenspezialist von seinem Fachgebiet behaupten.
Sehr viel schlechter ist der neurologische Wissensstand dagegen bei den Demenzen. Es gibt zwar aus der Alzheimerforschung durchaus biologische Befunde, man kann etwa krankhafte Eiweissablagerungen im Gehirn nachweisen. Doch es ist kaum möglich, aus dem Vorhandensein von Eiweissablagerungen auf Symptome zu schliessen. Das zeigte die legendäre «Nonnenstudie» aus den USA.
Die Diagnose konnte nur lauten: Die Nonne hat Alzheimer im Endstadium. Aber sie zeigte keine Symptome.
Dort begann David Snowdon, ein Epidemiologe, 1986 mit einer Studie zu Altern und Demenz bei über 600 Nonnen der School Sisters of Notre Dame. Er befragte die Frauen regelmässig, führte neuropsychologische Tests durch und untersuchte die Hirne verstorbener Ordensschwestern. Er fand Erstaunliches.
Bei Schwester Bernadette etwa. Sie war mit 85 unerwartet an einem Herzinfarkt gestorben. Die Obduktion ihres Gehirns zeigte derart massive Eiweissablagerungen, dass die Diagnose nur lauten konnte: Demenzklassifizierung Stufe 6, Alzheimer im Endstadium.
Doch Snowdon hatte wenige Wochen vor ihrem Tod mit ihr gesprochen. Schwester Bernadette verfügte auch mit 85 über eine hohe Intelligenz und ein bewundernswert gutes Gedächtnis. Vor allem aber zeigte sie keinerlei Symptome von Alzheimer. Ein Paradebeispiel für ein fundamentales Problem der Neurowissenschaften: Es lassen sich zwar biologische Abweichungen finden wie die Eiweissablagerungen in Schwester Bernadettes Gehirn. Nur, was bedeutet das?
Aus einem bestimmten biologischen Zustand des Gehirns lassen sich nur selten klare psychische Symptome oder eindeutige Funktionsdefizite ableiten. Anders als bei schweren körperlichen Krankheiten wie einem Herzinfarkt oder bei Krebs scheint im Gehirn die Biologie nicht «Schicksal» zu sein. Aus einem bestimmten Gehirnzustand folgt nicht zwingend ein bestimmtes psychisches Symptom oder ein vorhersehbares Empfinden.

Die wesentliche Erklärungslücke zwischen Gehirnprozessen und Bewusstsein (beziehungsweise Verhalten) ist letztlich auch dafür verantwortlich, dass die biologische Psychiatrie nicht vorankommt. Und das, obwohl sie die Deutungshoheit über psychische Störungen längst für sich beansprucht. Trotz jahrzehntelanger Forschung sind keine klinisch relevanten Erkenntnisse entstanden, weder für die Diagnose noch für die Therapie psychischer Störungen.
Trotz Milliardeninvestitionen in die Forschung fehlen die elementaren pathophysiologischen Konzepte. Will heissen: Man hat weiterhin keine Ahnung, was genau im Gehirn schiefläuft, wenn ein Mensch depressiv wird, manisch oder psychotisch. Das erklärt auch, warum seit über 30 Jahren keine Psychopharmaka mit neuem Wirkmechanismus auf den Markt gekommen sind.
Es könnte sein, dass man im Gehirn am falschen Ort sucht, wenn man das Wesen von Depressionen und Panikstörungen verstehen will. Nervenzellen allein werden weder depressiv noch panisch. Solche leidvollen Bewusstseinserfahrungen kann nur der Mensch als Ganzes machen.
Die Neurowissenschaften haben ein grundsätzliches Problem. Obwohl die Zahl der Neuroforscher exponentiell zunimmt und diese riesige Datenmengen produzieren, fehlt eine grundlegende Theorie des Gehirns. Das ist ein fundamentaler Unterschied zu anderen Naturwissenschaften wie der Physik. Dort gibt es die Relativitätstheorie und die Quantentheorie, womit sich Experimente ausdenken lassen, mit denen man die Theorie prüfen kann. Vor allem aber ermöglichen diese Theorien, Vorhersagen zu machen, wie sich Objekte unter bestimmten Bedingungen verhalten. Im Idealfall lässt sich ihr Verhalten sogar präzise vorausberechnen.
In den Neurowissenschaften aber gab es bisher keinen Einstein und keinen Max Planck; ja noch nicht einmal einen Newton. Deshalb sollte man auch keine Antwort erwarten, wenn man die neurologische Gretchenfrage stellt: Wie entsteht aus dem Gehirn Bewusstsein?
Wahrscheinlich ist, dass neben den erforschten biologischen Vorgängen Prinzipien und Gesetzmässigkeiten am Werk sind, von denen wir noch keine Ahnung haben.
Auch wenn es in der modernen naturwissenschaftlichen Weltsicht als gesicherte Tatsache erscheint, muss man sich fragen: Sind Bewusstseinsvorgänge wirklich vollständig und auf ausschliesslich biologische Prozesse des Gehirns zurückführbar? Oder anders gefragt: Ist das Gehirn nicht nur notwendige, sondern auch hinreichende Bedingung für bewusstes Erleben? Viele Wissenschaftler beteuern, das Leib-Seele-Problem sei doch längst entschieden. Doch es gibt Indizien, die die Hypothese «Geist ist, was das Gehirn macht» infrage stellen. So ist es eigentlich unmöglich, Sinneswahrnehmungen zu machen und Erinnerungen zu speichern, wenn keine Hirnaktivität vorhanden ist.
Aber genau das soll 1991 in den USA, bei einer Hirnoperation in Phoenix, Arizona, geschehen sein. Unter Narkose wurde die Körpertemperatur der Patientin Pam Reynolds auf 15 Grad gesenkt. In diesem Zustand mit stark vermindertem Stoffwechsel wurde ein Herzstillstand hervorgerufen. Das verschaffte den Chirurgen eine halbe Stunde Zeit, um bei stillgelegtem Blutkreislauf die Fehlbildung einer Arterie im Gehirn der Patientin zu versorgen.
Die Patientin bekam die Gespräche der Ärzte mit, obwohl sie nachweislich klinisch hirntot war.
Danach wurde Pam Reynolds’ Herz wieder zum Schlagen gebracht. Sie überstand die riskante Operation nicht nur gut, sie beschrieb später sogar im Detail, was sich während ihres Herzstillstands im Operationssaal abgespielt hatte. Reynolds bekam die Gespräche der Ärzte mit und beschrieb die verwendeten Instrumente.
In ihrem Fall existieren detaillierte Aufzeichnungen. Sie belegen, dass ihr Herz stillstand und damit auch kein Blutfluss im Gehirn mehr vorhanden war. Und sie beweisen, dass keine Hirnströme mehr messbar waren. Selbst eine Aktivität des Hirnstamms, gemessen mit akustischen Klicks über Kopfhörer, war nicht mehr nachweisbar. Es herrschte, wie es im Fachjargon heisst, «elektrozerebrale Stille». Reynolds war in jenen Minuten klinisch hirntot. Ob sie eine Nahtoderfahrung machte, sei dahingestellt.
Allein schon die Tatsache, dass jemand in diesem Zustand überhaupt Erinnerungen speichern und später wieder abrufen kann, ist gemäss gegenwärtigem neurobiologischem Verständnis völlig unmöglich.
Skeptiker halten es zwar für möglich, dass die Patientin vor und nach der halben Stunde etwas mitbekommen hat. Aber kaum im fraglichen Zeitabschnitt. Der Eingriff am Gehirn der 35-Jährigen dauerte insgesamt sieben Stunden.
Mindestens so erstaunlich und naturwissenschaftlich unerklärlich ist das Phänomen der terminalen Luzidität. Darunter versteht man das unerwartete Wiedererlangen geistiger Klarheit und des Gedächtnisses kurz vor Eintreten des Todes bei Patienten mit schweren psychiatrischen und neurologischen Erkrankungen.
So definiert das der Biologe Michael Nahm in einer Arbeit von 2012. Darin beschreibt er den Fall eines Krebskranken, dessen Gehirn durch Metastasen grösstenteils zerstört war. In den letzten Tagen vor dem Tod war der Mann gelähmt und hatte die Sprachfähigkeit verloren. Zeugen am Krankenbett berichteten, wie er kurz vor seinem Tod aufwachte, einige Minuten mit seiner Familie sprach und sich verabschiedete. Daraufhin verlor er wieder das Bewusstsein und starb.
Minuten bevor sie starb, begann die schwer demente Mutter mit ihrer Tochter eine normale Unterhaltung.
Biologe Nahm und Kollegen schildern auch einen Fall von terminaler Luzidität bei schwerer Demenz. «Eine ältere Frau litt seit 15 Jahren an Alzheimer, ihre Tochter hat sich um sie gekümmert. Über Jahre hinweg war die Frau teilnahmslos und zeigte keine Anzeichen dafür, ihre Tochter oder sonst jemanden zu erkennen. Ein paar Minuten bevor sie starb, begann sie jedoch eine normale Unterhaltung mit der Tochter. Eine Erfahrung, auf welche die Tochter nicht vorbereitet war und die sie in höchster Verwirrung zurückliess.»
Berichte wie diesen finden sich schon in der Medizinliteratur des 19. Jahrhunderts. Man könnte also durchaus von einem robusten Phänomen sprechen. Dass solche Berichte heute viel seltener in der Fachliteratur auftauchen, hängt wohl damit zusammen, dass man solchen Fällen im medizinisch-technischen Klinikalltag einfach keine Beachtung schenkt.
Dazu kommt, dass Patienten im Endstadium ihrer Krankheit in aller Regel mit Medikamenten stark sediert werden. Das macht das Auftreten luzider «End of life»-Erlebnisse unwahrscheinlicher. Natürlich lässt sich einwenden, solche Berichte aus den Grenzbereichen der Wissenschaft seien spekulativ und hätten keine Beweiskraft. Aber vieles, was im Namen der Hirnforschung als empirische Tatsache dargestellt wird, ist nicht weniger spekulativ. Es sieht nur wissenschaftlicher aus.
Vor allem aber liesse uns die systematische Untersuchung von Phänomenen an den Rändern menschlicher Erlebensmöglichkeit einen fundamentaleren Erkenntnisgewinn erhoffen, als durch eine irrelevante Bildgebungsstudie nach der andern zu erwarten ist, die uns überhaupt nicht weitergebracht haben.
Vielleicht ist es an der Zeit, die grosse Kontroverse aus dem 19. Jahrhundert wiederaufzunehmen, ob man das Menschsein (inklusive Bewusstsein und Verhalten) allein durch die biologischen Vorgänge im Gehirn erklären kann, oder ob da eben noch mehr ist.
Felix Hasler ist Forschungsassistent an der Berlin School of Mind and Brain der Humboldt-Universität in Berlin und Gastwissenschaftler am Max-Planck-Institut für Kognitions- und Neurowissenschaften in Leipzig. Der Pharmazeut promovierte an der Universität Bern und forschte
zehn Jahre lang an der Psychiatrischen Universitätsklinik Zürich. In der Arbeitsgruppe Neuropsychopharmakologie und Brain Imaging führte er Studien zu Modellpsychosen und zur Wirkung halluzinogener Substanzen durch. 2011 war er Gastwissenschaftler am Max-Planck-Institut für Wissenschaftsgeschichte in Berlin. Sein wissenschaftskritisches Buch «Neuromythologie. Eine Streitschrift gegen die Deutungsmacht der Hirnforschung» ist im November 2012 erschienen.
4 Kommentare