«Ich fühle mich wie ein Versuchskaninchen»
Der Fall einer 63-Jährigen zeigt: Ärzte können Experimente als normale Operationen deklarieren – und sich damit jeglicher Kontrolle entziehen.

Veröffentlicht am 16. September 2014 - 09:03 Uhr

«Einst war ich den Ärzten ausgeliefert, jetzt den Richtern»: Heidi Ruprecht
Heidi Ruprecht wurde 1997 von einem Auto angefahren. Dabei erlitt sie Verletzungen an der Halswirbelsäule und einer Bandscheibe. Die Folge: starke Schmerzen, «als wäre ein Stromkabel an meinen Körper angeschlossen». Hinzu kamen Migräne und Gefühllosigkeit in Armen und Beinen. Therapien brachten nichts, es wurde nur schlimmer.
2004 schlug ihr Bernhard Jeanneret, damals Chefarzt der Wirbelsäulenchirurgie im Unispital Basel, vor, die Halswirbelsäule mit einer neuen Methode wiederherzustellen: Statt die Wirbel aneinanderzuschrauben und zu versteifen, sollte ihr eine künstliche Bandscheibe zwischen dem fünften und sechsten Halswirbel eingefügt werden. Innerhalb weniger Wochen werde sie beschwerdefrei sein.
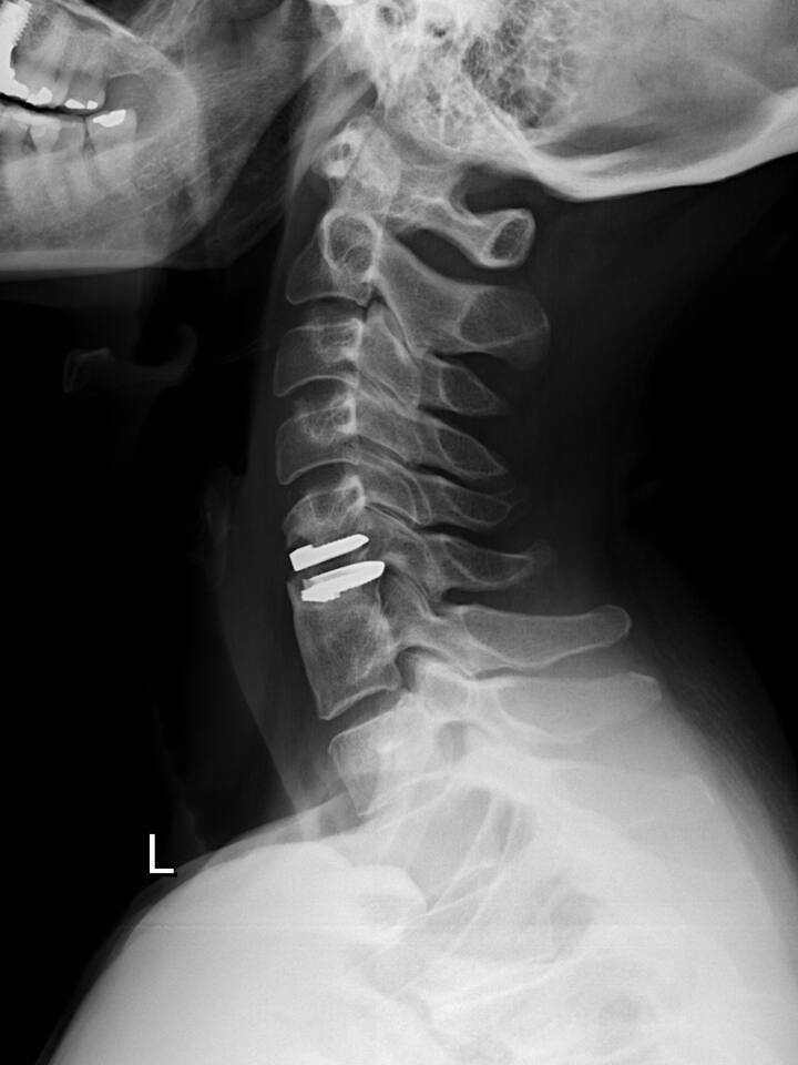
Doch es kam anders. Nach drei Jahren musste das Implantat entfernt werden. Es hatte sich ins Rückenmark verschoben – in den Spinalkanal. Es bestand akute Gefahr, dass Ruprecht gelähmt werden könnte.
Nach der zweiten Operation hatte Heidi Ruprecht ein ungutes Gefühl. Wie war es möglich, dass fast drei Jahre lang keiner bemerkt hatte, dass die Prothese nicht wie geplant eingewachsen war? Schon 2005 hatten die Röntgenbilder gezeigt, dass sie sich verschoben hatte. Weshalb hatte man ihre Schmerzen trotzdem nicht ernst genommen? Ruprecht, promovierte Physikerin und damals Sicherheitsexpertin eines Pharmakonzerns, begann zu recherchieren. Sie verlangte Einsicht in die Krankenakte, wurde aber vom Unispital abgewimmelt. Erst als sie gegen Jeanneret Strafanzeige wegen Körperverletzung einreichte, wurden ihr nach und nach Dokumente ausgehändigt.
Bei der zweistündigen Operation vom 30. August 2004 war nicht alles optimal verlaufen. Am Vorabend hatte Heidi Ruprecht 38 Grad Fieber gehabt, am Morgen der Operation immer noch eine Temperatur von 37,6 Grad. Trotzdem wurde der Eingriff durchgeführt. Jeanneret macht heute den Anästhesisten verantwortlich, dieser habe die Patientin als «operabel» erachtet. Während der Operation wurde dann zuerst eine zu grosse Prothese eingesetzt. Das belegt der Operationsbericht.
Was Heidi Ruprecht nicht wusste: Damals wurde eben erst die technische Entwicklungsphase für das Implantat beendet. Das ist deshalb von Belang, weil dieses eine Neuheit aufwies: eine poröse Oberfläche, die besser in den Knochen einwachsen sollte. Die Pilotstudie, auf die der Chefarzt Heidi Ruprecht verwiesen hatte, wurde erst nach der Operation abgeschlossen und im November 2004 veröffentlicht. Weltweit war diese Prothese damals 52 Patienten implantiert worden. Erst 2005 und 2007 folgten ausgedehntere Studien. Eine wichtige vorklinische Studie mit biomechanischen Tests und Tierversuchen wurde ebenfalls erst nach Ruprechts Operation veröffentlicht.
Das alles zeigt: Chefarzt Jeanneret vertraute einem Produkt, dessen Wirksamkeit wissenschaftlich nicht abschliessend belegt war. Auch allfällige Nebenwirkungen und Langzeitfolgen waren noch kaum untersucht. Offensichtlich stützte er sich massgeblich auf Resultate der noch unfertigen Studie, die wenige Monate zuvor an einem Kongress für Wirbelsäulenspezialisten in Portugal präsentiert worden war. Wissenschaftler präsentieren an solchen Kongressen gern neue Methoden und stellen sie als bahnbrechende Erkenntnisse dar. Den wissenschaftlichen Kontrollprozess (sogenannte «Peer-Reviews») durchlaufen ihre Studien aber erst, wenn sie von einer wissenschaftlichen Fachzeitschrift publiziert werden sollen.
Heidi Ruprecht fragt sich, wieso man sie vor der Operation 2004 nicht umfassend informiert und bis heute im Ungewissen gelassen hat. «Wenn ich damals von den nicht abgeschlossenen klinischen Studien gewusst hätte, hätte ich der Operation nie zugestimmt.» Anfänglich vermutete sie, sie sei selber Teil einer klinischen Studie gewesen – ohne ihr Wissen. Als sich der Beobachter einschaltete, liess Chirurg Jeanneret über seinen Anwalt aber ausrichten: «Die Operation war kein klinischer Versuch.» Damit habe der Eingriff auch keiner Ethikkommission vorgelegt werden müssen. Damit stellt sich Jeanneret auf den Standpunkt, beim Eingriff habe es sich um eine Standardtherapie gehandelt.
In der Schweiz schützt eigentlich ein dichtes Regelwerk die Patientinnen und Patienten. Allerdings: Anders als Medikamente durchlaufen Prothesen hier kein eigentliches Zulassungsverfahren. Ärzte müssen lediglich die Konformität eines Medizinprodukts nachweisen. Ob die bei Ruprecht implantierte Prothese tatsächlich «konform» war, ist jedoch umstritten. Denn nach wie vor gibt es keinen vollständigen Einblick in die Krankenakten.
Ruprecht, einst beruflich auch für eine internationale Zertifizierungsstelle tätig und deshalb bestens mit den gesetzlichen Anforderungen an Qualitätszertifikate vertraut, forschte weiter. Sie forderte von der deutschen Herstellerfirma Waldemar Link die fraglichen Konformitätsbewertungen an. Das ihr ausgehändigte Dokument erfüllt die gesetzlichen Anforderungen jedoch nicht. Es fehlen die Namen der Produkteverantwortlichen der Firma sowie die Unterschrift der Zuständigen der Bewertungsstelle TÜV. Auf Nachfrage gab Link zu, beim Papier handle es sich nur um eine «erste Konformitätsbewertung (…) nach Abschluss der Entwicklung und vor der Freigabe für die Vermarktung». Damit bestätigt die Implantateherstellerin: Die Prothese war zum Zeitpunkt der Operation mutmasslich noch gar nicht auf dem Markt. Gegenüber dem Beobachter erklärt die Firma hingegen: «Die Prothese wurde seit 2004 in Europa verkauft.» Die Fehler auf dem Konformitätsnachweis seien lediglich «formale Mängel».

Dass Ärzte Methoden einsetzen oder Produkte verwenden, die nicht ausreichend klinisch getestet oder noch gar nicht zugelassen sind, kommt immer wieder vor. «Das ist leider Alltag», sagt Margrit Kessler, GLP-Nationalrätin und Präsidentin der Stiftung für Patientenschutz. Ihr seien weitere Fälle bekannt, wo Ärzte behaupteten, es handle sich um eine Standardtherapie, obschon der Eingriff eindeutig Experimentalcharakter hatte. Immer wieder würden zudem Ärzte ihre Studien erst im Nachhinein der Ethikkommission vorlegen, als sogenannte «retrospektive Datensammlungen». Auf diese Weise kann aus vielen einzelnen Eingriffen hinterher eine klinische Studie konstruiert werden.
Gut möglich, dass auch Heidi Ruprecht für eine klinische Studie vorgesehen war. Weil die Operation aber fehlerhaft verlief, könnte sie aus dem Experiment ausgeschlossen worden sein. Jeannerets Anwalt lässt diese Frage unbeantwortet. Der Prothesenhersteller Link erklärt jedoch auf Anfrage: «Nein, in Europa fanden keine klinischen Studien mit dieser Prothese statt.» Für Ruprecht ein schwacher Trost: «Auch wenn ich offiziell nicht Teil einer klinischen Studie gewesen sein soll, war ich letztlich doch ein Versuchskaninchen.»
Ruprechts Insistieren bewirkte aber, dass die Herstellerfirma letzten Oktober mit sechsjähriger Verspätung ihrer Vertriebsfirma NuVasive in den USA meldete, dass bei Heidi Ruprecht das Implantat wieder hatte herausoperiert werden müssen. Der US-Konzern erstattete nur einen Monat später Meldung bei Swissmedic – wie es das Gesetz bei schwerwiegenden Ereignissen vorsieht. Jetzt hat die Schweizer Aufsichtsbehörde offenbar gleich zwei Verfahren gegen den Hersteller eingeleitet.
Das alles lässt den inzwischen als Chefarzt pensionierten Chirurgen unberührt. Er ist sich keiner Schuld bewusst: «Die Entfernung der Prothese ist kein schwerwiegendes Ereignis. So bestand aus keinem Grund eine Pflicht oder Veranlassung zur Meldung.» Ob seine Einschätzung richtig ist, muss sich zeigen. Ruprecht hat 2010 Strafanzeige wegen Körperverletzung erstattet. Die Staatsanwaltschaft Basel-Stadt kam letztes Jahr zwar zum Schluss, es liege keine Körperverletzung vor und dem Arzt sei keine Unsorgfältigkeit nachzuweisen. Die zuständige Staatsanwältin stellte das Verfahren im Mai 2013 ein, allein gestützt auf ein Gutachten. Die Patientenakte hatte sie nachweislich nicht studiert. Ruprechts Anwalt legte gegen diesen Entscheid Beschwerde ein. Der Fall liegt nun beim Basler Appellationsgericht. «Einst war ich den Ärzten ausgeliefert, nun Behörden und Richtern», sagt Heidi Ruprecht.